Kroppens behov for fluor – eller behovet som aldri fantes
I mange tiår har vi blitt fortalt at fluor er avgjørende for sterke tenner. Tannleger, reklamer og skolehelsetjenester har hamret inn budskapet: “Fluor beskytter mot hull.”
Men hvor mye av dette er egentlig sant? Og hva sier kroppen selv, trenger den virkelig fluor?
Kroppen som helhetlig system
Kroppen vår består av livsnødvendige byggesteiner: kalsium, magnesium, jern, sink, fosfor, kalium og natrium, mineraler og vitaminer som cellene faktisk trenger for å overleve, vokse og reparere seg.
De inngår i en finstemt balanse hvor hvert stoff har en spesifikk oppgave.
Fluor derimot, er annerledes. Det finnes i naturen, og små mengder tas opp via mat, vann og luft. Men kroppen har ingen biologisk bruk for fluor. Den produserer det ikke, trenger det ikke, og har ingen prosesser som krever det.
Likevel lagres det – nesten som en blindpassasjer – i bein og tenner.
Naturlig tilstede, men ikke nødvendig
Når vi får i oss fluor, binder det seg til kalsium og fosfat i emaljen og skjelettet, og danner et stoff kalt fluorapatitt. Dette skjer uansett, også uten tannkrem og tilsetninger.
Men det betyr ikke at kroppen “ønsker” fluor – den bare tåler små mengder av det som finnes naturlig i miljøet.
Om vi sammenligner mengden fluor med andre stoffer i kroppen, blir forskjellen dramatisk:
- Kalsium utgjør over 1000 gram
- Magnesium rundt 25 gram
- Jern cirka 4 gram
- Fluor? Bare noen få milligram, under 0,001 prosent av kroppens totale mineralinnhold
Det sier sitt om hvor lite kroppen faktisk trenger.
Når “litt” blir for mye
Problemet oppstår når kroppen får mer fluor enn den klarer å kvitte seg med.
Fluor lagres i bein og tenner, og over tid kan det føre til:
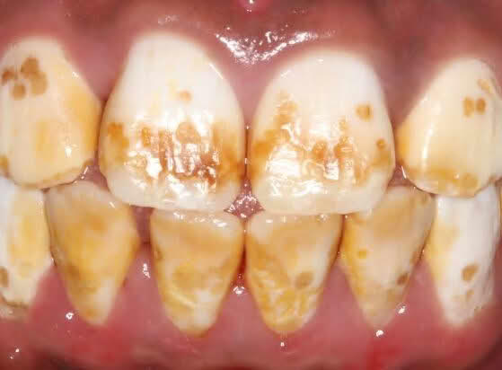
- Dental fluorose: hvite eller brune flekker på tennene, porøs emalje og sprøhet.
- Skjelettfluorose: stivhet, smerter, kalkavleiringer og tap av fleksibilitet i skjelettet.
- Forstyrrelser i enzymaktivitet og kollagenproduksjon.
Fluor gjør overflaten på emaljen hardere, men samtidig mindre elastisk – som et glass som ser sterkt ut, men knuser lettere.
Hvorfor er tannleger fortsatt så opptatt av fluor?
De fleste tannleger lærer fortsatt at fluor er nødvendig for å forebygge hull.
Men den kunnskapen bygger på forskning fra 1950-tallet, lenge før vi forstod hvordan fluor egentlig påvirker kroppen.
Nyere forskning viser at den lokale effekten på tannoverflaten kan erstattes av tryggere og mer biologiske alternativer, som hydroksyapatitt – et stoff kroppen faktisk kjenner igjen og bruker naturlig.
Forskningen taler tydelig
Det finnes i dag mange vitenskapelige studier som viser hvordan for høy eksponering for fluor kan skade kroppen:
- “Toxicity of fluoride: critical evaluation of evidence for human health” (PMC7261729) – viser sammenhenger mellom langvarig fluoridinntak og skjelettforandringer.
- “Principles of fluoride toxicity and the cellular response: a review” (PMC7230026) – forklarer hvordan fluor hemmer enzymer og øker oksidativt stress i cellene.
- JAMA Pediatrics (2019) – meta-analyse som fant sammenheng mellom høy fluorideksponering og lavere IQ hos barn.
- “Fluoride sources, toxicity and fluorosis management techniques” (ScienceDirect, 2021) – oppsummerer skadevirkninger på tenner, skjelett og hormonsystem.
“Dental fluorose er en tannsykdom som skyldes for mye fluor. […] Fluorid i tannkrem, munnskyllevann og fluortabletter brukes fordi det beskytter tennene mot karies (hull).”
“Mild dental fluorose er ganske vanlig, mens alvorlig dental fluorose er svært sjeldent hos barn som har vokst opp i Norge.”
“Ved inntak av for mye fluorid under tanndannelsen kan emaljen bli feil oppbygd. Dette fører til misfarginger, og i de alvorligste tilfellene avskalling og feildannet tannemalje.”
“I Norge tilsettes det ikke fluorid i drikkevannet, og offentlig vannforsyning bruker overflatevann som ikke inneholder fluorid.”
Kilde: Store medisinske leksikon – Dental fluorose
Tid for å stille spørsmål
Fluor er ikke et onde i seg selv – det er et mineral naturen inneholder i små doser.
Men å gjøre det til et nødvendig næringsstoff var en feilslutning vitenskapen nå gradvis begynner å rette opp.
Vi skylder både oss selv og kommende generasjoner å spørre:
Hvorfor skal vi tilføre kroppen et stoff den ikke trenger, og som i for store mengder gjør den svakere, ikke sterkere?
Bildet: Store medisinske leksikon – Dental fluorose

